doctorduval
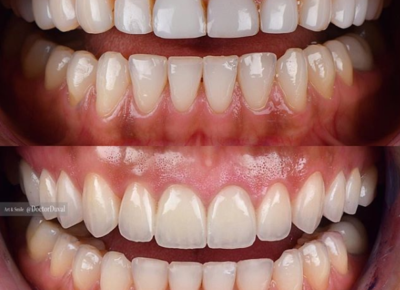
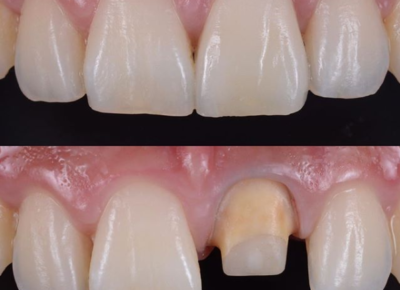
Changing Dentistry in the World. Creating a work of art in every smile. A new case from a pateint that traveled to see us from another country. Very grateful for her trust in allowing us to give her the result she always wanted. Pateint was not happy with her upper 12 restorations that were dull, lifeless, and more importantly, in the wrong position. After removal of the old restorations, the gingiva was treated with crown lengthening to achieve the proper dimensions for the new teeth. New restorations were designed and crafted that fit her smile frame properly and give her a overall balance to her new smile and facial beauty……. biology function & aesthetics

